Was ist Kieferorthopädie?
Kieferorthopädie befasst sich mit der Korrektur von Zahn- und Kieferfehlstellungen. Eine rechtzeitige Behandlung sorgt für ein gesundes Gebiss und ein harmonisches Gesichtsbild.
Für Kinder ist ein erster Besuch beim Kieferorthopäden zwischen dem 7. und 10. Lebensjahr empfehlenswert. Erwachsene können sich jederzeit behandeln lassen, um ästhetische und funktionelle Probleme zu korrigieren.


Warum sollte ich eine kieferorthopädische Behandlung in Betracht ziehen?
Eine kieferorthopädische Behandlung ist wichtig, um:
da gerade Zähne leichter zu reinigen sind und weniger anfällig für Bakterienansammlungen sind.

die durch Fehlbisse entstehen können.

die zu Verdauungsproblemen führen können.

und die ästhetische Erscheinung</b> von Zähnen und Kiefer zu verbessern.

das durch gerade Zähne entsteht.

da ein schönes Lächeln oft zu einem besseren Selbstwertgefühl beiträgt.

Es ist nie zu spät diese Probleme zu lindern oder zu korrigieren

da hervorstehende Zähne bei Unfällen leichter abbrechen

Unser Team
Kieferorthopädin

Kieferorthopäde

Behandlungsarten
Wir bieten folgende Arten der Behandlung an:





Onlineberatung
Mit maximal 7 Fragen versuchen wir herauszufinden, ob ein Behandlungsbedarf besteht. Dieser Fragebogen ersetzt keine persönliche Beratung bei einem Kieferorthopäden, gibt Ihnen aber einen Eindruck, was auf Sie in der Behandlung erwarten könnte.
Was kostet mich eine kieferorthopädische Behandlung?
Preise werden nach Behandlungsumfang berechnet. Wir können daher nur ungefähre Werte angeben. Üblicherweise nehmen wir Ratenzahlung - auf Wunsch kann der Betrag auch direkt beglichen werden. Es handelt sich um marktübliche Preise.
Bei Vorliegen gewisser Messwerte (KIG) übernimmt die gesetzliche Krankenkasse ca. 3500€
ca. 60-70€/ Monat
Beim Fehlen gewisser Messwerte (KIG) und bei Erwachsenen übernimmt die gesetzliche Krankenkasse keine Behandlungskosten
ca. 120-130€/ Monat
Trotz hohem Behandlungsbedarf bei manchen Erwachsenen übernimmt die gesetzliche Krankenkasse keine Behandlungskosten
ca. 140-150€/ Monat
Wie wähle ich den richtigen Kieferorthopäden?
Dies ist eine grundlegende Checkliste. Jeder Patient hat individuelle Bedürfnisse, und es ist wichtig, dass Sie sich bei Ihrem Kieferorthopäden wohl und vertraut fühlen.
Der Kieferorthopäde sollte die alle Vor- und Nachteile der Behandlungsmöglichkeiten auflisten, frei von finanziellen Belangen.

Der Kieferorthopäde sollte eine spezialisierte Ausbildung und/oder fortlaufende Weiterbildungen nachweisen können.

Ein erfahrener Kieferorthopäde kann oft komplexere Fälle handhaben und hat eine Vielzahl von Behandlungssituationen erlebt.

Rezensionen und Testimonials von anderen Patienten können Aufschluss über die Patientenzufriedenheit geben.

Ein guter Kieferorthopäde sollte die Kosten klar und transparent kommunizieren.

Überprüfen Sie die Öffnungszeiten der Praxis und wie leicht es ist, Termine zu vereinbaren.

Der Arzt sollte in der Lage sein, Behandlungspläne klar zu erklären und alle Fragen geduldig zu beantworten.

Diese können Ihnen ein Bild von den Ergebnissen geben, die der Kieferorthopäde in der Vergangenheit erzielt hat.

334 Bewertungen: 4.8 von 5.0
5 out of 5 stars
“I was in pain because my braces’ archwire was poking me, and Dr Frentzen kindly accepted me right away without an appointment. He was quick, professional, and very nice — the problem was solved in minutes. I’m really grateful for his help!“
5 out of 5 stars
“Nicht nur bei meinem letzten Termin, sondern wiederholt über einen längeren Zeitraum habe ich mich als minderjährige Patientin oft respektlos behandelt gefühlt. Gespräche wurden meiner Wahrnehmung nach häufig in einem scharfen, ungeduldigen Ton geführt, und ich hatte immer wieder das Gefühl, nicht ernst genommen zu werden. Der schlimmste Moment war jedoch mein letzter Besuch: Obwohl ich einen Termin hatte, wurde ich mitten in der Behandlung abrupt hinausgeschickt – und das, obwohl mein Gesicht noch voller Blut war. Ich war völlig durcheinander, habe geweint und überhaupt nicht verstanden, warum ich so behandelt wurde. Der Auslöser war nur eine einzelne Frage von mir, und dennoch wurde mir in einem äußerst harten Ton gesagt, ich solle sofort aufhören und sonst rausgehen. Kurz darauf wurde ich tatsächlich hinausgedrängt, und die Tür wurde hinter mir heftig zugeschlagen, während ich draußen im kalten Wetter stand, noch blutend und völlig verunsichert. Ich habe immer wieder darum gebeten, wieder in die Praxis zu dürfen, doch niemand hat mir geholfen. Selbst als meine Eltern angerufen haben, wurde ich nach meinem Empfinden bewusst nicht wieder hereingelassen. Nach so vielen Monaten Behandlung fühlte ich mich in diesem Moment nicht nur im Stich gelassen, sondern zutiefst gedemütigt. Auf Grundlage meiner gesamten persönlichen Erfahrung kann ich diese Praxis in keiner Weise empfehlen.“
5 out of 5 stars
“"Wir sind rundum zufrieden mit der Betreuung in der Kieferorthopädie-Praxis Frentzen! Herr und Frau Doktor Frentzen sind einfach großartig! Beide nehmen sich stets viel Zeit, um alle Fragen ausführlich zu beantworten und gehen sehr einfühlsam auf die individuellen Bedürfnisse ein. Die beiden sind nicht nur fachlich äußerst kompetent, sondern auch sehr freundlich und verständnisvoll. Sie zeichnen sich nicht nur durch ihre herausragende fachliche Kompetenz aus, sondern auch durch ihre Bodenständigkeit und die Art, wie sie mit ihren Patienten auf Augenhöhe kommunizieren. Man merkt sofort, dass sie sich wirklich für einen interessieren und sich Zeit nehmen, um alle Fragen ruhig und verständlich zu beantworten. Trotz ihrer Professionalität wirken sie immer sehr nahbar und freundlich, was eine sehr angenehme Atmosphäre schafft. Die gesamte Praxis ist modern und gut ausgestattet, und auch das Team ist immer freundlich und hilfsbereit. Wir fühlen uns hier bestens aufgehoben und können diese Praxis ohne Einschränkung weiterempfehlen!“ Am liebsten 10 Sterne und mehr!!!“
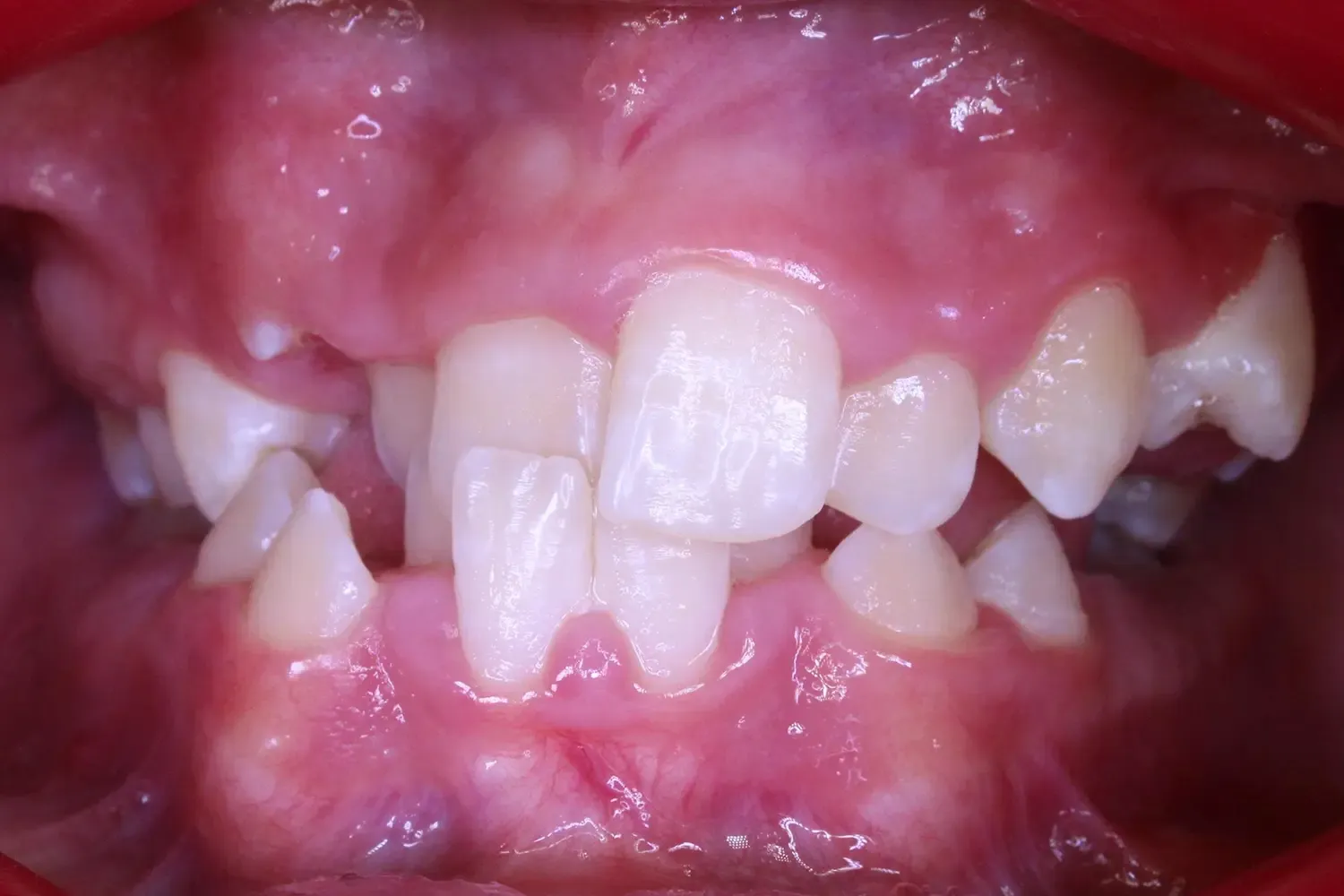
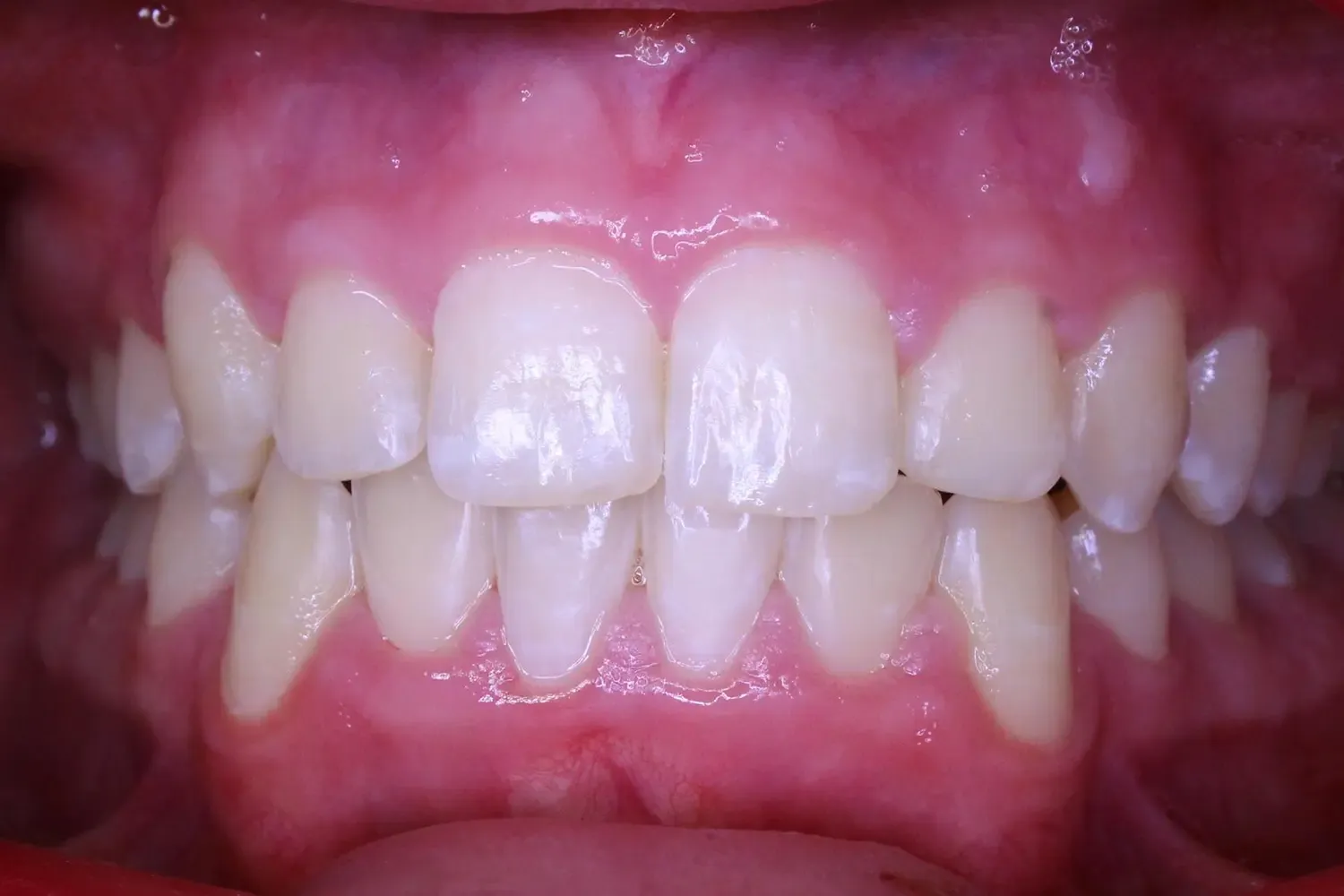
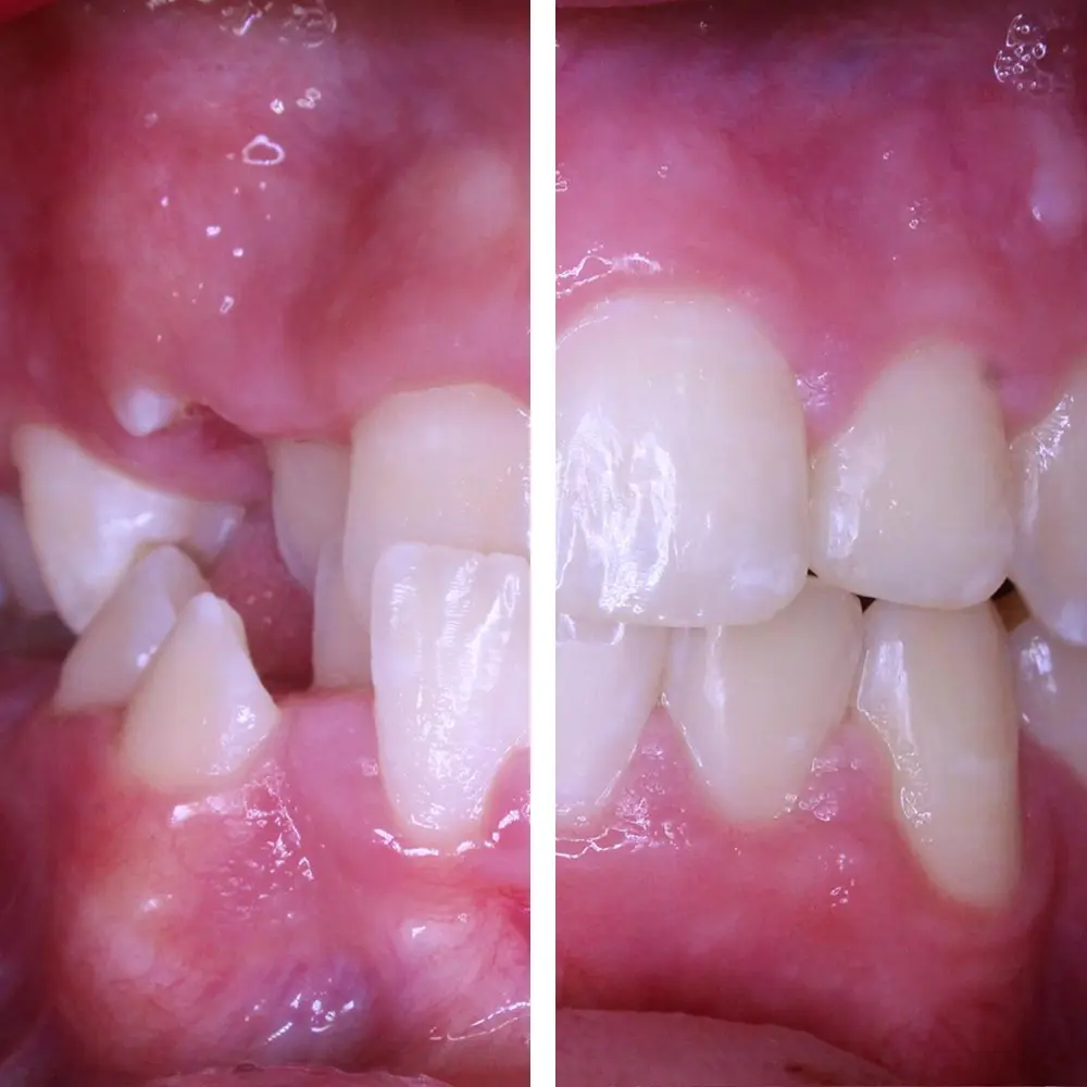
Bereits behandelte Patienten
Diese Vorher-Nachher Bilder zeigen bereits behandelte Fälle und geben Ihnen einen Eindruck, welche Ergebnisse Sie erwarten können
Einen Beratungstermin buchen